Kenali Jamur Coccidioides Immitis yang Meracuni Siswa MBG
Jagad Tani - Di tengah maraknya siswa dan masyarakat yang keracunan akibat memakan makanan dari Program Makan Bergizi Gratis (MBG), ternyata ada berbagai bakteri dan jamur yang terkandung di dalam makanan tersebut salah satunya ialah jamur Coccidioides immitis yang ditemukan pada semangka di Sukabumi.
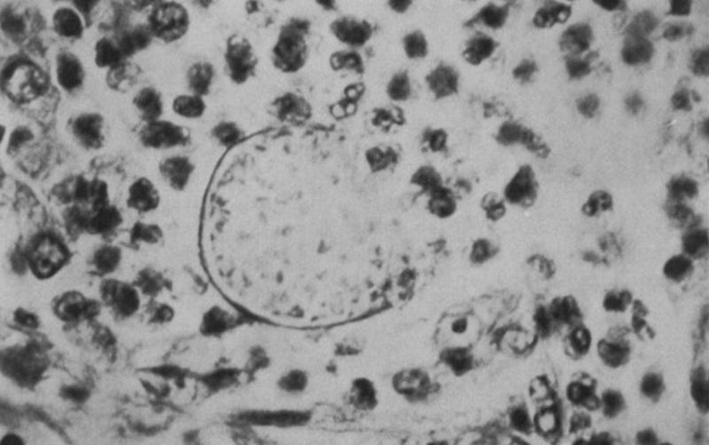
Coccidioides immitis merupakan jamur dimorfik yang menyebabkan penyakit koksidioidomikosis (demam lembah yang diinfeksi oleh jamur pada paru-paru) saat spora (arthroconidia) terhirup dan berubah menjadi bentuk sferul (bola kecil) di dalam paru-paru. Gejalanya bisa seperti flu ringan, atau berkembang menjadi pneumonia kronis yang parah, terutama pada orang dengan sistem imun lemah.
Baca juga: Hari Tani Nasional, Petani Tuntut Konflik Agraria
Hal ini didasari oleh temuan hasil Uji laboratorium terhadap makanan dari program MBG yang diduga memicu kasus keracunan massal pelajar di Kabupaten Sukabumi, yang terjadi di wilayah Kecamatan Cidolog, Parakansalak, dan Cibadak di sepanjang bulan Agustus hingga September 2025.
Berdasarkan Hasil pemeriksaan mikrobiologi di Balai Laboratorium Kesehatan Jawa Barat, akhirnya ditemukan jamur (Coccodiodesimmitis) pada semangka. Padahal jamur jenis ini biasanya dapat ditemukan di wilayah seperti kawasan barat daya Amerika Serikat dan Meksiko Utara dan dapat terbawa ke udara melalui aktivitas pertanian, konstruksi, ataupun angin.
Jamur Coccidioides immitis dapat tumbuh secara dimorfik, yakni jamur yang mampu mengubah bentuk morfologi-nya ke dalam bentuk kapang (hifa) dan bentuk khamir (ragi) selama siklus hidupnya.
Saat dalam bentuk kapang atau jamur di tanah, ia tumbuh sebagai miselium filamen yang memecah menjadi arthroconidia yang dapat terhirup. Adapun saat berbentuh khamir, di dalam inang, arthroconidia berubah menjadi sferul berdinding tebal yang berisi banyak endospora, yang kemudian dilepaskan untuk memulai infeksi lebih lanjut kepada si inang.
Dampaknya pada manusia jika sudah terkena demam lembah akibat jamur tesebut bisa bervariasi, mulai dari infeksi paru-paru ringan yang bisa sembuh sendiri hingga menjadi penyakit yang cukup parah akibat penyebarannya ke organ lain, termasuk kulit, tulang, dan sistem saraf pusat, yang dapat berakibat fatal jika tidak diobati.
Baca juga: Semua Pihak Harus Bekerja Sama Selamatkan Badak
Selain jamur Coccidioides immitis, juga terdapat bakteri (Enterobacter cloacae) pada tempe orek, dan macrococcus caseolyticus pada telur dadar dalam cek lab tersebut. Sementara itu, sampel dari dapur MBG di Parakansalak dalam temuan hasil lab Balai Laboratorium Kesehatan Jawa Barat ditemukan bakteri (Bacillus Cereus) pada telur.
Setidaknya hingga saat ini berdasarkan data laporan Jaringan Pemantau Pendidikan Indonesia (JPPI) per 21 September 2025, tercatat ada sebanyak 6.452 anak yang menjadi korban keracunan program Makan Bergizi Gratis (MBG). Adapun data dari Badan Gizi Nasional (BGN) mencatat sebanyak 4.711 porsi MBG telah menyebabkan gangguan kesehatan hingga 22 September 2025.

